How Full Mouth Reconstruction Combines Function and Aesthetics

Full Mouth Reconstruction Charlotte, NC

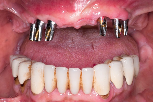
Full mouth reconstruction is a comprehensive dental treatment plan that addresses both the appearance and function of your smile. General dentists integrate restorative and cosmetic procedures, leading to long-term oral health benefits. Here is how a full mouth reconstruction can improve your smile and overall quality of life.

Understanding full mouth reconstruction

Full mouth reconstruction is not a single procedure. Rather, it is a personalized approach to repairing and restoring an individual's teeth, gums, and teeth alignment. The process can address multiple dental concerns in a single procedure, making it a solution for individuals with widespread tooth damage, severe decay, or long-term wear. Each treatment plan will help individuals achieve a beautiful and functional smile, leading to increased comfort and a boost of self-confidence.

The benefits of full mouth reconstruction

Restore oral function

Full mouth reconstruction restores the patient's oral function. For example, teeth that are broken, missing, or misaligned can significantly interfere with daily activities like speaking and eating. Functional improvements are achieved through the following procedures:

  • Dental implants
  • Dental crowns
  • Dental bridges
  • Orthodontic treatment
  • Periodontal care

By combining these restorative procedures, patients can regain the ability to chew and speak more comfortably.

Boost confidence with a beautiful smile

In addition to improving the patient's oral function, full mouth reconstruction leads to a more aesthetically pleasing smile. The dentist can integrate cosmetic dentistry into the patient's treatment plan to create a natural and attractive smile. Common cosmetic improvements include teeth whitening treatments, porcelain veneers, and gum contouring. An attractive and functional smile boosts the patient's confidence in personal and professional interactions.

Address complex dental concerns

Full mouth reconstruction is particularly effective for individuals with complex dental concerns that cannot be resolved with a single restorative treatment. Conditions that may require a comprehensive plan include:

  • Severe tooth erosion caused by acid reflux, grinding, or diet
  • Advanced gum disease resulting in tooth mobility or loss
  • Injuries leading to fractured or missing teeth
  • Long-term neglect has compromised both teeth and gums

By approaching these issues with a structured and multi-phase plan, dental professionals can restore both the patient's oral health and appearance in a coordinated treatment process.

Long-term systemic health benefits

A full mouth reconstruction can greatly improve a patient's smile. However, it also offers more than just a better appearance; it can improve the patient's overall quality of life. It helps the patient eat more efficiently, leading to better digestion and nutrition. Fixing bite or jaw misalignments can also relieve jaw pain and tension headaches. Healthy gums and repaired teeth lower the risk of health issues linked to oral diseases, such as heart disease, respiratory illnesses, and diabetes.

Choosing the right dental professional for full mouth reconstruction

Due to full mouth reconstruction involving multiple specialties, it is important to choose the right dental professional to perform the procedure. General dentists with additional training in restorative and cosmetic dentistry can coordinate more complex cases. When patients trust the process to an experienced dental professional, they can ensure that they enjoy long-lasting results.

Full mouth reconstruction in modern dentistry

Advances in dental technology have elevated the outcomes of full mouth reconstruction. For example, digital imaging, 3D scans, and computer-guided implant placement improve the dentist's precision during the treatment and reduce treatment time. These tools allow the dentist to design reconstructions that are personalized to the patient's needs and durable. Additionally, patients benefit from shorter recovery periods, reduced discomfort, and results that closely match their natural oral anatomy.

Full mouth reconstruction: what to expect from the process

Examination and treatment planning

The full mouth reconstruction process begins with a comprehensive evaluation, where the dentist will thoroughly examine the patient's mouth. They may take X-rays and a dental impression to determine the extent of the treatment the patient needs. Then, they will develop a personalized treatment plan to combine the benefits of restorative and cosmetic procedures.

Active treatment

During the active treatment phase, the dentist will perform a variety of procedures, such as crowns, implants, orthodontics, or periodontal therapies, according to the established treatment plan. To complete the transformation, the dentist will make final refinements, such as cosmetic improvements like whitening or dental veneers.

Long-term care and maintenance

Long-term maintenance involves regular checkups and a good oral hygiene routine. These practices can help patients protect their new smile for years to come.

Schedule a consultation at our Charlotte office

Full mouth reconstruction combines advanced restorative and cosmetic dental techniques that can help you achieve a functional and beautiful smile. Do you have questions for the Charlotte office team? Schedule a consultation at our office to learn more about how this procedure can transform your smile and overall quality of life.

Request an appointment here: https://www.charlottemidtowndentistry.com or call Midtown General & Cosmetic Dentistry at (704) 307-4525 for an appointment in our Charlotte office.

Check out what others are saying about our dental services on Yelp: Full Mouth Reconstruction in Charlotte, NC.

Related Posts

Top 7 Services Offered By A Cosmetic Dentist You Should Know About

Cosmetic dentists blend artistry with modern science to elevate a smile while safeguarding long-term oral health. Whether goals involve brighter teeth, improved symmetry, or a more balanced bite, a cosmetic dentist designs personalized solutions that look natural and feel comfortable. Understanding the most common services clarifies options and helps set realistic expectations for timing, cost, and…

What To Expect During Your First Cosmetic Dentist Visit

Your first cosmetic dentist visit can be full of anxiety. How do you know what to ask? Do you need to know what you want ahead of time? What if you do not know the answer to a question asked by the dentist? Will you have work done on the same day as your appointment?It…

When Is A Dental Crown Needed After Cavity Treatment?

Dental crowns can treat many dental issues, including cavities. Your dentist will always aim to keep your natural teeth. Placing caps on them can help the dentist do this. Cavities can eat away and weaken teeth. These teeth will need more support after treatments. Here are the details about when dental crowns can help after…

What You Should Know Before Getting Dental Implants

Dental implants offer a long-term solution for people missing one tooth or multiple teeth. This tooth replacement option can restore the function and appearance of your smile. While dental implants are an effective treatment option for many patients, there are several important factors to consider before undergoing this procedure. Here is what you should know…